logo_header
なかの歯科医院
NAKANO DENTIST’s OFFICE

インプラント

implant
自由診療(自費診療)
医療控除あり

噛む力も自然な歯に近いものになるインプラント

インプラント治療は、失われた歯を置き換える現代的な歯科治療法の一つです。この治療は、顎の骨にチタン製の人工歯根(インプラント)を埋め込み、その上にセラミックやジルコニア製の人工歯(クラウン)を取り付けることで、自然な歯と同様の機能と見た目を回復させます。また 適切なケアを行えば、インプラントは非常に長持ちします。多くの場合、一生涯持続することが期待でき、残っている自然な歯を保護することも可能です。

CTスキャナで口腔内状況を隅々まで診察

インプラント治療において、患者様の口腔内状況を正確に把握することは非常に重要です。そのため、当医院ではCTスキャンを用いて、インプラントを埋め込むための骨の質と量を詳細に診察します。この高度な画像診断技術により、患者様一人ひとりの骨の形状や密度を正確に把握し、インプラント治療の計画を立てます。

特に骨が薄い方や骨の質が不十分な方に対しては、標準的なインプラント治療方法では困難が伴う場合があります。このような状況を考慮し、患者様の骨の状態に最適な治療法をご提案いたします。場合によっては、骨の再生治療や他の代替手段を推奨することもあります。

さらに、最新鋭の口腔内スキャナーを完備している歯科技工所との協力により、患者様の口腔内を細部まで正確に記録します。これにより、個々の患者様にぴったり合った、より精密なインプラントの製作が可能となります。当医院では、このようにして患者様一人ひとりに最適化されたインプラント治療を提供することで、より高い成功率と満足度を目指しています。

長期にわたる安全性を確保するオプション

純チタン製のブラスト処理インプラントは今も主流ですが、特性上、4週間目に最も緩む可能性が高く、術者も患者様もインプラント周囲に神経質になることがあります。しかし、当院ではハイドロキシアパタイト(HA)コーティングインプラントが非常に優れた性能を示しており、新たな主流になりつつあります。過去にはHAコーティングの剥離が問題でしたが、現代技術によってこの課題は克服されました。これにより、HAコーティングインプラントは早期の骨結合を促し、長期にわたる安定性を実現しています。

当医院で採用しているオプションのHAインプラント技術は、患者様の口腔内健康を長期にわたり守ることを目的としています。チタン製ブラスト処理インプラントでも性能に優れておりますが、より自然で、安全、かつ長持ちするインプラント治療を可能にするHAコーティングインプラント技術は患者様の生活の質の向上を支援しています。

インプラントには時間が経つにつれ骨と直接結合する特性があります!

このハイドロキシアパタイトを使用したインプラントは、生体組織との高い親和性を持ち、比較的早期に骨と直接結合する性質を有しています。この特性により、インプラントと骨の間の隙間を最小限に抑え、細菌の侵入や感染のリスクを減らします。また、現在の新型HAコーティングによるインプラントは、治療後の緩みや剥離が生じにくく、患者様にとってより安定した、長期にわたる固定性を提供ができます。

※骨密度や骨性状に個人差がありますが、

通常のインプラントで2~3ヶ月で骨と結合
NHサーフェイス(新型のHAコーティング)でなんと1ヶ月で骨と結合
diagnose_01

インプラントの種類と特徴と料金

インプラントメーカーについては、世界に数百社存在し、それぞれに特色があります。当医院では、高い品質と信頼性で知られる世界的にシェアの高い二つのブランド、ストロウマンインプラントとオステムインプラントを採用しています。これらのメーカーは、長年にわたる研究と実績に基づく製品を提供しており、その精度と耐久性は世界中の歯科専門家から高く評価されています。当医院ではこれらの優れたインプラントシステムを用いることで、患者様ひとりひとりに最適な治療結果を提供することをお約束します。

① Straumann/ストロウマンインプラント

Made in Swiss
implant_114
インプラント+
上部フルメタルクラウン
352,000
円(税込)
インプラント+
上部ジルコニアクラウン
407,000
円(税込)
インプラント+
前歯部セラミックスタイプ
440,000
円(税込)
オプション
SLActive
ロキソリッドサーフェイス
11,000
円(税込)
特徴
臨床実績が40年以上あり、世界シェアトップクラス☝️のインプラントシステムです。
世界に流通しているということは、トラブルやリカバーに対して対応がしやすい、というメリットがあります。
非常に細かな凹凸があり、そこに骨の細胞が入り込むことで、骨と結合しやすい構造になるので、
最短6週間で骨を結合させることができます。

②Hiossen implant/ハイオッセンインプラント

Made in USA
implant_113
319,000~418,000
円(税込)
オプション
NHサーフェイス
11,000
円(税込)
特徴
ハイオッセンのインプラントは、その独特な形状が大きな特徴です。この形状は、骨への埋入時に骨の治癒力を促進し、インプラントと骨との間に強固な定着を生み出します。この「治癒力」と「定着力」により、長期にわたる安定した治療成果が期待できます。 世界シェアもアジアTOPで、流通量は世界TOPクラスのインプラントで自然な白い歯を再現することが可能です。そのため、見た目の美しさと機能性を兼ね備えた、理想的な治療法です。

Hiossenにも、メタル、ジルコニア、セラミックスの上部構造がありますので、 用途に合わせてchoiceしていだけます。 それはストロウマンと同じラインナップです。
※NHサーフェイス(次世代HAコーティング)はHiossenの技術です。

② OSSTEM/オステムインプラント

308,000~396,000
円(税込)
特徴
他のインプラントの良いとこ取りの特徴を持つ。
歯槽骨の特性は欧米人とアジア人で異なります。
韓国で開発されたオステムは、アジア環太平洋地域でシェアトップクラス☝️、 販売量においても世界トップクラス☝️のインプラントシステムです。
「参考:世界の歯科インプラント市場における主要企業の分析(Millennium Research Group:2018)」 アジア人の骨格に合わせて設計されています。「国際標準化機構(ISO)」規格であるISO9001認証、EU加盟国の基準を満たす場合に付ける基準適合マークであるCEマークを獲得、次いで米国市場に輸出するために必要なFDA登録において、class-IIIを獲得し、オステムのインプラントの性質及び機能性や安全性が評価されました。

インプラントの素晴らしさ!

健全な下顎の場合、95%以上が10年間は問題ないと証明されております。
implant_06

①[必要な審査診断]

事前に審査診断をCTを駆使して、しっかりと行う事。歯周病の治療と管理。喫煙のコントロール。咬合の管理。顎関節症の把握 …など、必要な項目が多いですが、より長く、健康的な食生活を送るために、インプラントは素晴らしいアイテムとして活躍してくれます。 ぜひ一度、ご検討ください。
implant_04

②[欠損部の治療との比較]

事前に審査診断をCTを駆使して、しっかりと行う事。歯周病の治療と管理。喫煙のコントロール。咬合の管理。顎関節症の把握 …など、必要な項目が多いですが、より長く、健康的な食生活を送るために、インプラントは素晴らしいアイテムとして活躍してくれます。 ぜひ一度、ご検討ください。
欠損の両サイドの歯(支台)に負担がかかり、かつ患者様が思っているより遥かに多く削る事になります!ただし、保険が効く場合、安価ではありますが、見栄えが悪いです。
※咬合力は天然臼歯の70%
欠損部分近くにガネをかけて、歯牙と粘膜で負担します。見栄えが悪いのと、夜間は外して洗浄し、外した状態で就寝します。安価ではあります。
※咬合力は天然臼歯のなんと!18%しか回復しません!
骨にチタンのフィクスチャーを入れて骨と結合させる技術。他の歯に負担をかけず、審美的でもあります。他の治療より高額なのが唯一の難点です。
※咬合力は天然臼歯の90%以上回復します。

インプラントのオプション治療/インプラントオーバーデンチャー

① Straumann® LOCATOR® System

ロケーター システム

入れ歯が落ちやすくて、力を入れて噛めない方に適しています。 数本のインプラントに、ロケーターを装着して、義歯の維持を飛躍的に向上します☝️ もちろん噛む力もupします。
1本
¥330,000
(税込)
ロケーターシステムは、インプラントと義歯の間に取り付ける小さな接続部品です。このシステムの核となるのは、インプラント体内部に装着されるロケーターアタッチメントで、その上部にシリコンキャップが取り付けられます。シリコンキャップは義歯内部に組み込まれ、インプラント上に義歯をしっかりと固定する役割を果たします。
上顎にロケーターシステムを利用する場合、3本のインプラントが推奨されます。これは、上顎の骨が比較的柔らかく、インプラントの安定性を確保するためにより多くの支持点が必要であるためです。3本のインプラントによって、義歯の保持力と支持力を向上させることができ、また、噛む力による圧力が分散され、インプラントへの負担を軽減し長期的な安定性と快適性が確保されます。下顎では2本のインプラントが一般的に使用されます。下顎の骨は上顎に比べて密度が高く、より強い支持力を提供するため、少ない本数のインプラントでも十分な安定性が得られます。2本のインプラントによっても、義歯の適切な固定と機能回復が期待できます。また、下顎の場合、インプラントの配置による影響が少なく、患者様の快適性を損なうことなく治療を行うことが可能です。

②骨造成システム

インプラント治療の成功において、顎骨の質と量は極めて重要な役割を果たします。しかし、多くの患者様では、様々な理由により十分な骨量が確保されていないことがあります。このような状況を克服するために、骨造成システムが開発されました。これらの技術は、インプラントを安定させ、機能的かつ美的に優れた結果を達成するために、顎骨の構造を改善し増強します。

GBR骨造成

ガイデッドボーンリジェネレーション(GBR)は、インプラント治療において不足している骨量を補うための先進的な骨造成技術です。この方法は、特に骨の量が不十分でインプラントの安定性が懸念される場合に適用されます。GBRは、顎骨の損失がある部位に新しい骨組織を形成し、インプラントを支えるための強固な基盤を提供することを目的として4〜6ヶ月後メンブレンを除去すると骨ができているという技術です。
※除去の必要の無い吸収性メンブレンもございます。
1本
¥99,000
(税込)

ソケットリフト

上顎臼歯部におけるインプラント治療は、特に上顎胴までの骨量の不足が課題となることがあります。上顎の骨は、下顎に比べて一般的に柔らかく、骨幅や骨の高さが不十分な場合が多く見られます。特に、上顎臼歯部では、咀嚼力による負荷が大きいため、インプラントの安定性を確保するためには十分な骨量が必要とされますので元々骨量が不足していた部分に新たな骨を形成し、インプラントを埋入するための安定した土台を作り出します。
1本
¥88,000
(税込)

簡単骨造成(リフィット)

リフィット技術は、歯科医療における革新的な骨造成法の一つで、特に歯を抜歯した後の空洞(抜歯窩)に対して効果的です。通常、歯を抜歯するとその場所に空洞ができ、時間が経過するとその空洞は自然に閉じますが、この過程で骨量の減少が生じることがあります。リフィット技術は、抜歯直後に特殊な材料を抜歯窩に挿入することで、この骨量減少を防ぎ、新しい骨の形成を促進します。
1本
¥33,000
(税込)
implant_116

スプリットクレスト

インプラント治療を成功させるためには、インプラントを支える顎骨の質と量が非常に重要です。顎骨の幅が最低5.5〜7.0mm程度必要であるにも関わらず、歯周病や歯の喪失により骨が痩せてしまい、この条件を満たせない場合があります。特にインプラント自体が最低でも3.5mm程の幅を必要とするため、十分な骨の幅、長さ、密度が確保されていなければ、インプラントの埋め込みは困難となります。このような状況に対応するために、骨の幅が不足している際に適用される治療法としてスプリットクレストがあります。スプリットクレスト技術は、顎骨の幅を広げるための手術方法で、顎骨の不足している部分に十分なスペースを作り出すことが目的です。

1本
¥88,000
(税込)

当院のインプラント治療

1

カウンセリング・ プランを選択

全身疾患やアレルギー、現在服用中の薬など、患者様の医療歴を詳しく確認します。カウンセリング後にはリスク、費用についての説明を行い、患者様の質問にも答えます。当院ではストロウマン、オステム 、プラトンから、適したインプラントを選択していただきます。
2

診察

CT検査によって診断いたします。 (インプラント診断の場合、当院でインプラントを行う場合には実質CT代金はかかりません)診察後、口腔内の状態や骨の量、患者様の健康状態に基づき、個別の治療計画を立案します。
4

支払い

アプラス、オリコの『デンタルローン]を完備。スマホで簡単審査!月々¥4,730~!(総額¥330,000、84回払いの場合) *貯金しても、なかなか難しいものです。時は過ぎ去っていきます。
今直ぐに、噛める歯が欲しい!という気持ちは誰でもお持ちなはずです!アプラス、オリコの『デンタルローン]を完備。スマホで簡単審査!月々¥4,730~!(総¥330,000、84回払いの場合)
*貯金しても、なかなか難しいものです。時は過ぎ去っていきます。今直ぐに、噛める歯が欲しい!という気持ちは誰でもお持ちなはずです!
4

再診

1ヶ月後、製作されたインプラントが実際に患者様の口内にどのようにフィットするか、実際の診察を通じて確認します。この段階では、インプラントが顎骨に適切に統合されることを目的とし、噛み合わせの正確性やインプラントの安定性を細かくチェックします。
3

インプラント埋入手術

ンプラント埋入手術を行う際には、患者様の咬合に十分配慮し、顎関節症を引き起こさないようにインプラント埋入手術を行います。手術前には、患者様の現在の咬合状態を詳細に分析を行い顎の動き、噛み合わせのパターン、そして顎関節の状態を評価することが含まれます。
6

フォローアップとメンテナンス

治療完了後も定期的なチェックアップとクリーニングが必要です。インプラントと自然な歯との健康を維持するために、適切な口腔衛生習慣の継続が重要です。当医院ではインプラントを長く維持していただけるように自宅でもできるメンテナンス方法をしっかり教えております。

メンテナンスに関して

prevention_103

EMSエアフローワンで口腔内メンテナナンスを!

インプラントの処置を行った後に、末永く美味しく健康的な食生活を送るためにもメンテナンスが必須です!
インプラントにこびり付いたバイオフィルムは歯ブラシでは除去が困難です。また、超音波スケーラーはチタン面に傷が付くので使用が不適切です。

バイオフィルムは口腔内の様々な表面に付着し、ヌメヌメした層を形成する細菌の集合体です。これが原因でインプラント周囲炎などの問題が発生することがあります。
そこで、今回導入しましたこの機器が大活躍です!
implant_02

EMS AIRFLOW ONE エアフロープロフィラキシスマスター

スイス、EMS(Electro Medical Systems)社製の最新のエアフローです。特殊なパウダーを歯面にジェット噴射することで、歯面に付着したプラーク(バイオフィルム)を必要以上にインプラント を傷つけず、最小限のパワーで取り除く事が可能です。
implant_03

医療費控除について

インプラント治療を受けたいと思っても、高額な治療費に悩んで、二の足を踏む方々が多いのもこのためでしょう。このように公的医療保険の対象とならないインプラント治療ですが、実は医療費控除が適用され、税金から医療費の一部が還付されることをご存じでしょうか。ンプラント治療は、審美的な目的だけではなく、咀嚼機能の回復などのために行われる場合が多く、これが医療控除の対象となる根拠となります。詳しく知りたい方は一度、当院にご相談ください。

保証に関して

当院では、安心して治療を受けられます様に、インプラントに保証期間設けております。
完全保証期間7年、
有償保証期間5年のトータル12年間の保証期間があります。

    • 術後〜7年未満の再治療はインプラント料金の全額を医院が負担
    • 術後7〜8年未満の再治療はインプラント料金の50%を医院が負担
    • 術後8〜9年未満の再治療はインプラント料金の25%を医院が負担
    • 術後9〜12年未満の再治療はインプラント料金の10%を医院が負担

12年目以降は患者様全額ご負担いただきます。
(上部構造の保証期間は5年間です。)

  • 転倒や交通事故など、患者様本人の過失によるもので、当医院の責任ではない場合
  • 定期的な検診、メンテナンスをきちんとお受けにならなかった場合
  • ナイトガード装着のお願いをするなど、当医院の指示(歯科医師・歯科衛生士)に従わなかった場合
  • 診察時に予測不能な疾患により、口腔内が急激に変化した場合
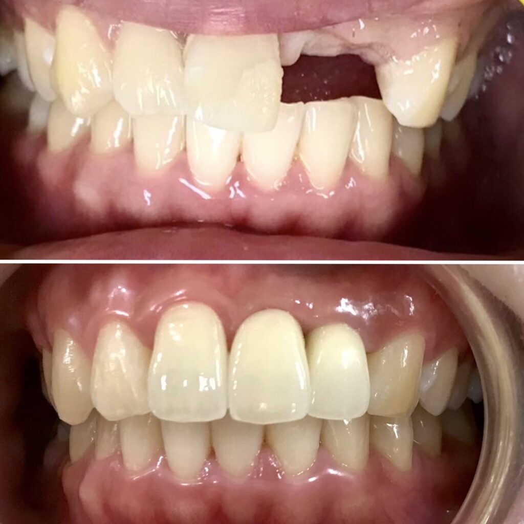
インプラント補綴の症例です